Во рту у подростка взорвался вейп. Посмотрите, что стало с его челюстью
Зато он сразу же бросил парить.
В американском штате Невада произошел трагичный случай: во рту у 17-летнего Остина Адамса взорвалась электронная сигарета. Об этом пишет NBC News.

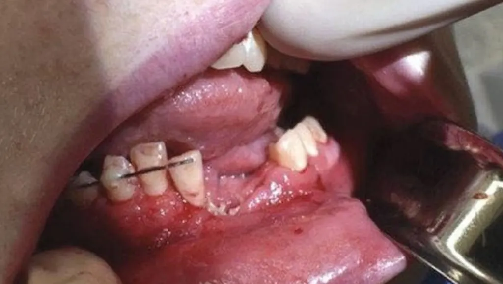
Вейп марки VGOD подростку купила его мать – так женщина хотела помочь сыну бросить курить сигареты. При первом же использовании устройство взорвалось, повредив парню челюсть и выбив несколько зубов. Также на лице Остина остались ожоги.

Так выглядел рот Остина Адамса после того, как взорвался вейп
«Остин вошел, закрывая рот руками. Он был в шоке и не мог говорить», – вспоминает мама мальчика. По словам самого парня, взрыв был неожиданным; он не делал ничего необычного с устройством, от чего оно могло бы взорваться.
Подростка сразу же отвезли в больницу, где сделали операцию. Теперь его жизни ничто не угрожает – даже вред от обычных и электронных сигарет: после инцидента Остин решил навсегда отказаться от курения.
Расследованием случившегося занялось Управление по санитарному надзору за качеством пищевых продуктов и медикаментов (FDA). Организация уже разработала новые правила безопасности для производителей электронных сигарет. Также проверки требуют батареи для вейпов: пользователи жалуются, что они быстро перегреваются и становятся причиной пожаров или взрывов.
- С января 2009 года по декабрь 2016 года американские СМИ сообщили о 195 случаях взрывов и пожаров, причиной которых стало использование электронных сигарет. 133 случая закончились серьезными травмами.
- Умник пытался включить вейп, чтобы вылечить астму. Она его больше не побеспокоит.