Говорят, что Coca-Cola помогает лечить ротавирус и некоторые другие болезни. Насколько это правда?
ДзенНикто не хочет верить, что кола вредна.
«Кока-кола» – один из самых популярных напитков в мире, но когда дело доходит до вопросов пользы и вреда, всплывает не лучшая её репутация. Родители, телевидение, люди, ведущие здоровый образ жизни, – все говорят, что кола отравит ваш организм, прожжёт дырку в желудке и по дороге счистит всю ржавчину с монеты, которую вы проглотили в восемь лет. Но есть и свидетельства пользы колы.

В частности, по интернету давно ходит легенда о том, что кола помогает лечить ротавирус – инфекцию, сочетающую гастрологические и респираторные симптомы. Вы без труда найдёте истории людей, рассказывающих, что им прописывали колу врачи из некоторых европейских стран, например, Польши. Как это вообще работает?
Утверждается, что кола оказывает противовирусное и противорвотное воздействие на больного из-за содержания в ней ортофосфорной кислоты. Якобы это вещество меняет кислотно-щелочной баланс в организме максимально неприятным для ротавирусной инфекции образом, а пациент быстро начинает чувствовать себя лучше.

Звучит логично, если не вдаваться в подробности. Я долго пытался, но так и не нашёл настоящих научных исследований и рекомендаций, касающихся колы и ротавируса. Более того, подавляющая часть свидетельств о целебной коле встречается в рунете, а в англосфере об этом упоминают всего лишь в паре статей. Более того, многие врачи, которым задают этот вопрос, утверждают совершенно обратное – согласно известной части состава, кола может наоборот ухудшить течение болезни.
Ортофосфорная кислота действительно может помочь, однако в коле её слишком мало, чтобы она смогла оказать существенное воздействие. А высокое содержание глюкозы, которое якобы должно восполнять запас утерянной энергии, может затруднить всасывание воды в организм. Добавим к этому кофеин с его пусть мягкими, но всё же мочегонными свойствами, и окажется, что кола точно мешает пополнять запас воды и вряд ли борется с вирусами. Особенно при наличии настоящих лекарств.

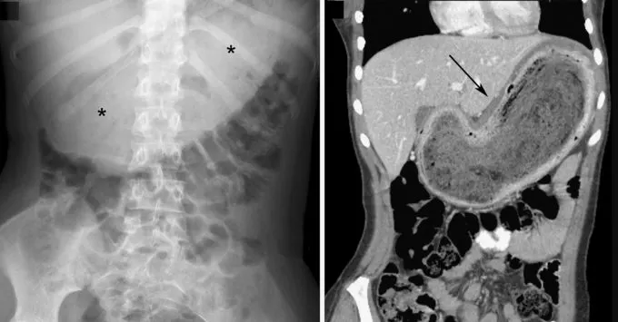
Так что же получается, кола наносит организму исключительно вред и её нельзя использовать в медицине? Не совсем так. На самом деле существует болезнь, которую действительно эффективно лечат «Кока-колой» – и она тоже касается гастроэнтерологии. Но это далеко не ротавирус.
Речь идёт про так называемый безоар – желудочный камень, образующийся из плотной массы волос, шерсти животных, растительных волокон. У человека он встречается достаточно редко, но внимательные зрители «Доктора Хауса» помнят третий эпизод пятого сезона, где из желудка пациента достали отвратительный ком.

Оказывается, пациентам с таким диагнозом действительно назначают приём «Кока-колы», а иногда её вводят внутрь самого безоара с помощью специального оборудования. Благодаря знакомой нам ортофосфорной кислоте, карбонату натрия и пузырькам CO2, кола помогает расщепить безоар и очистить от него желудок. Кола в данном случае оказывается более мягким и безопасным средством, чем некоторые другие методы. Вот описание процесса на русском языке, а вот научная публикация на английском.
Выходит, что в некоторых случаях кола действительно может использоваться, как лекарство, но безоары встречаются гораздо реже, чем ротавирус – скорее всего, вы не станете их жертвой. В остальном же максимум медицинской пользы, которую можно получить от напитка, извлекут диабетики, у которых упал сахар. А слухи о том, что популярная газировка действительно что-то лечит, лучше проверять у настоящих врачей, а не форумах для мамаш.